Workshop ter
gelegenheid van de MFVN ouderdag.
Docent: Dr. Jeroen
Goossens, afd. Cognitive Neuroscience, UMC St. Radboud
Deze workshop is
opgezet als een zogenaamd COO (computer ondersteunend onderwijs). Er staan in
de tekst steeds verwijzingen naar andere web-sites. Keer terug naar deze pagina
via de “Back” knop op de web-browser. Kies één van de onderwerpen die u het
meest interessant lijkt, en klik met de muis op de link (onderstreepte tekst).
U mag natuurlijk ook meerdere onderwerpen bekijken.
1)
Zien
doen we met onze hersenen!
Veel plezier! Indien u een en ander later thuis
nog eens wilt na lezen, kunt u deze deze site aanroepen via mijn webpagina: http://www.mbfys.ru.nl/~goossens/
Wanneer we kijken
komt er licht door de iris naar binnen. Voordat het licht bij het netvlies
aankomt, passeert het verschillende onderdelen van het oog. De onderdelen zijn:
het hoornvlies, oogkamers, ooglens en het glasachtig lichaam.
Klik hier voor meer uitleg waarom we
kunnen zien
Aan de regenboog op een buiige dag kunt u
goed zien dat zonlicht eigenlijk uit verschillende kleuren bestaat. Als licht ergens op valt, zoals
hier op de foto, weer kaatsen de stralen die dan via de lens op ons netvlies
vallen. Het netvlies bevat lichtgevoelige cellen die een staafvormige en
kegelvormige structuur hebben. Er zijn drie soorten kegeltjes, waardoor we kleuren kunnen waarnemen
Visuele hersenschors
Hersencellen (neuronen) in het achterse
deel van onze hersenen reageren ieder heel specifiek op bepaalde licht
prikkels. Dit is bij proefdieren m.b.v.
microelektrodes zeer nauwkeurig te onderzoeken.
In dit filmpje hoort
u de activiteit van één hersencel terwijl er een licht prikkel aangeboden
wordt. Merk op dat de cel alleen ‘vuurt’ (actief wordt) indien het
licht-balkje op een hele specifiek manier wordt aangeboden.
Iemand die
kleurenblind is ziet wel kleuren, maar heel anders dan de meeste mensen. Kijk hier
hoe de de wereld er uitziet voor kleurenblinden.
Dolores van het
programma Klokhuis legt verder uit wat kleurenblindheid is.
Klik
hier om het filmpje te starten (13:58 min).
Ons gehoorsysteem bestaat uit
het perifere auditieve systeem (oor en gehoorzenuw) en het centrale auditieve
systeem in de hersenen.

Geluidsgolven
De verplaatsing
van de luchtdrukveranderingen door de ruimte noemen we een geluidsgolf. Kijk
maar eens naar deze animatie
In dit
schematisch overzicht kun je zien hoe de geluidgolf door
achtereenvolgens het oor, de gehoorgang, de gehoorbeentjes, en het slakkenhuis wordt
geleid.
In principe is
het voor dove patienten mogelijk met een elektrische
cochleaire prothese in beperkte mate weer spraak te verstaan. Om een
idee te geven, hier het resultaat van een computersimulatie: een hij klinkt voor prothese gebruiker en dezelfde zin
zoals wij hem horen (controle)
Klik hier
voor uitgebreidere informatie.
In het dagelijks leven staan we
er meestal niet zo bij stil, maar als je er even over nadenkt is het helemaal
niet zo vanzelfsprekend dat geluidslocalisatie zomaar mogelijk is. Klik hier
voor uitgebreide informatie (door Prof. Dr. van Opstal)
Afhankelijk van
de positie van een geluidsbron zal het tijdsverschil tussen
de twee oren systematisch variëren tussen –450 microseconde en +450
microseconde.
Een illustratie
voor de wijze waarop dit gebeurt in zoogdieren is hier te zien. De schakeling zit zo in elkaar dat er
voor elke richting van de geluidsbron een ander neuron actief wordt. Deze
simulatie van het Jeffress model voor geluidlokalisatie laat dit zien.
Ook het
intensiteitsverschil tussen de twee oren varieert systematisch met de positie
van de geluidsbron in het horizontale vlak. Dit fenomeen is in meer detail
geïllustreerd in deze figuur.
De oorschelp
als richtingsgevoelige 'antenne'.
Deze
richtingsafhankelijke filtering wordt veroorzaakt door de manier waarop geluid
in de oorschelp en aan het hoofd en schouders reflecteert, zoals
hier schematisch is geïllustreerd.
Margreet van het programma Klokhuis zoekt uit hoe je alles wat om je heen gebeurt kan horen. Dit heeft te maken met geluidsgolven. Ze doet wat testjes 'richtinghoren', ze wordt o.a. geblinddoekt en de vorm van haar oren wordt veranderd. Daardoor merkt ze dat het zo heel lastig is om te bepalen waar een geluid vandaan komt.
Klik
hier om het filmpje te starten (14:22 min, sla de eerste 2:18 min over).
Ons evenwichtsorgaan geeft
informatie over onze houding en beweging. Er zijn gespecialiseerde zintuigen
voor de detectie van lineaire versnellingen en de zwaartekracht (de otolieten)
en andere voor de detectie van rotaties (de halfcirkelvormige kanalen of
booggangen). Klik hier voor
uitgebreide informatie.

Om te testen of
het evenwichtsorgaan nog goed werkt,
draait de arts het hoofd zo snel mogelijk links en rechtsom en kijkt of
de ogen even snel de andere kant op draaien. De film is opgenomen bij een normale
proefpersoon.
Klik
hier om het filmpje te starten
Demonstratie
van de VOR-test: rotatie in vestibulaire stoel
![]()
In het filmpje ziet u hoe een proefpersoon wordt rondgedraaid met constante
snelheid in een vestibulaire stoel. Bij een echte test gebeurt dat in het
donker.
Klik hier om het filmpje te starten
De
VOR-oogbewegingen die hierbij optreden zijn te zien in het volgende filmpje
![]()
De oogbewegingen zijn gefilmd met een infrarood camera aan boord van de stoel.
Eerst staat de stoel stil (subject stationary). Meteen na het draaien zien we
duidelijke nystagmus quick phases in de richting van hoofrotatie. Na enkele
tientallen seconden houdt de nystagmus op terwijl de stoel nog steeds draait. Na
het stoppen van de stoel is er hevige nystagmus in tegengestelde richting.
Klik hier om het filmpje te starten
![]()
Deze reflex
stabiliseert het hoofd tegen veranderingen in houding door
lichaamsbewegingen. Met name bij vogels is de reflex gemakkelijk te
demonstreren.
Start film over de stabilisatie reflex bij
de uil
Onze spieren worden door middel van elektrische
stroompjes vanuit de hersenen aangestuurd. Daarbij krijgt elke individuele
spier aparte opdrachten om te aan te spannen, of juist te ontspannen. In dit overzicht
van het motorisch systeem in de hersenen kunt u zien dat deze aansturing niet
eenvoudig is.
In de jaren 40 van de vorige eeuw,
ontdekte de Canadese neurochirurg dr. Penfield dat bepaalde hersengebieden heel
specifiek bepaalde spieren in ons lichaam aansturen. Dit ontdekte hij tijdens operaties
van epilepsie patienten. Penfield gebruikte daarbij elektrische stroompjes om
de probleemgebieden op te sporen. Door
nauwkeurig de bewegingen v.d. patient in de gaten te houden, kon hij de
motorische gebieden goed in kaart brengen. Klik hier voor meer uitleg
Start het demonstratieprogramma
‘Probe the brain’ om zien hoe hij tot deze ontdekking kwam.
Om motorische afwijkingen op te sporen, kunnen artsen vele verschillende
tests uit voeren. Elektrische stimulatie in de hersenen vindt slechts
bij hoge uitzondering plaats. In dit overzicht
ziet u waar de arts zoal op let. Belangrijk is vooral om te bepalen of
problemen zich in de hersenschors voor doen (zoals vaak na een hersenbloeding),
of juist op een lager niveau van spier, zenuw en ruggenmerg .
Alles wat wij doen
wordt aangestuurd door elektriciteit vanuit onze hersenen. Margreet laat zien
welke stroompjes door ons lijf lopen en laat haar hersenactiviteit opmeten. Klik hier om het filmpje te
starten (14:42 min, u kunt stoppen na 9:38 min).
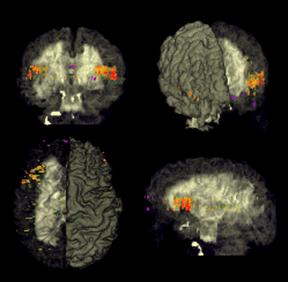
Tot nog niet zo lang geleden was het een mysterie wat
zich afspeelde in het menselijk brein. Moderne imaging technieken brachten
hierin de afgelopen jaren snel verandering. Met name imaging technieken als PET
(Positron Emission Tomography), MEG (MagnetoEncefaloGrafie)
en fMRI (functional
Magnetic Resonance Imaging) hebben een nieuwe impuls gegeven aan het
hersenonderzoek. Deze technieken brengen namelijk niet de anatomie van de
hersenen in beeld, maar de kleurrijke plaatjes geven de functie van de
verschillende hersengedeeltes weer.
Zulk inzicht wordt gebruikt voor wetenschappelijke en therapeutische
doeleinden. Inzicht in het functioneren van het brein zal het ook mogelijk
maken om beter te kunnen interveniëren in datzelfde brein. Zo is het nu
makkelijker het effect van psychotherapie en psychofarmaca te meten en te
verbeteren, hersenoperaties efficiënter uit te voeren en nemen de mogelijkheden
voor neurostimulatie en hersenprotheses hand over hand toe.
Localisatie van Hersenfuncties
In dit overzicht
kunt u zien dat de verschillende hersenlobben ieder een specifieke functie
hebben. Zo zijn er specifieke gebieden voor horen, zien, en bewegen. Ook het
spreken, en spraakverstaan kent aparte gebieden.
Om alle
informatie die tot je komt te verwerken, moet het wegennet in je hersenen goed
blijven werken. Maar hoe ouder je wordt, hoe drukker de wegen in je hoofd.
Margreet van het programma Klokhuis maakt een hersenscan en ze krijgt wat
hersentestjes. Is er al filevorming in haar brein?
Klik hier om het filmpje te
starten (14:27 min, sla de eerste 2:40 min over).